论文已发表
注册即可获取德孚的最新动态
IF 收录期刊
Original Research
罗哌卡因和右美托咪定结合使用的局部麻醉镇痛疗法:透明质酸修饰的含有皮肤渗透剂的长效纳米结构脂质载体

Original Research
临床上重要的气单胞菌属独特的抗菌素耐药性图谱在中国西南地区:一项为期七年的监测研究

Original Research
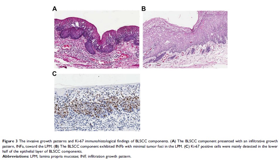
含食管基底样鳞状细胞癌成分的食道病变的临床病理特征和预后

Review
磷脂酰乙醇胺结合蛋白4在肿瘤中的作用及信号转导途径

Case Report
腹膜和大网膜的产生 AFP 的肝样腺癌(HAC):一例病例报告和文献复习

Original Research
修改后的正念减压疗法(MBSR)对有阈下抑郁的青少年心理健康的影响:一项随机对照试验
