论文已发表
注册即可获取德孚的最新动态
IF 收录期刊
Original Research
茶褐素通过 ASK1-JNK-c-Jun 信号通路诱导肝癌细胞 Huh7 的凋亡和肿瘤抑制

Original Research
circKRT7-miR-29a-3p-COL1A1 轴促进卵巢癌细胞进展

Original Research
在肥胖成年人口中,抑郁和觉知压力(非焦虑)与发炎加剧相关

Original Research
核转录因子-κB 的高表达与顺铂耐药和卵巢癌的预后有关

Original Research
2002 营养风险筛查表与患者主观整体评估相结合对鼻咽癌患者的可用性

Original Research
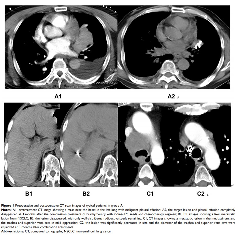
近距离放射疗法与碘 125 种子联合全身化疗与仅采用全身化疗治疗伴颅外寡转移瘤非小细胞肺癌的对比
