论文已发表
注册即可获取德孚的最新动态
IF 收录期刊
Original Research
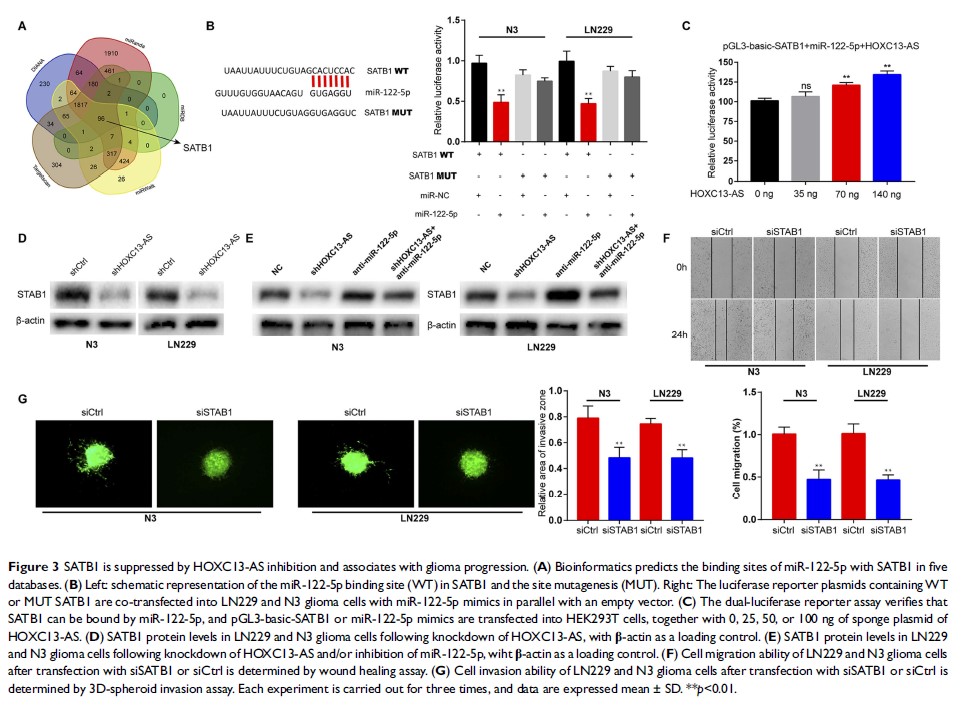
HOXC13-AS-miR-122-5p-SATB1-C-Myc 反馈回路促进神经胶质瘤的迁移、侵袭和 EMT 过程

Original Research
LncRNA XIST 耗竭可通过上调 microRNA-424-5p 抑制 bFGF 来阻止侵袭性垂体神经内分泌肿瘤的癌症进展

Original Research
DPY30 通过介导上皮-间质转化(EMT)过程调控子宫颈鳞癌的发生

Original Research
右美托咪定通过调节 FKBP12.6/RyR2 信号传导保护 H9c2 心肌细胞免受氧葡萄糖剥夺/再氧化诱导的细胞内钙超载和细胞凋亡

Original Research
蒺藜皂苷通过修复阴茎海绵体的内皮功能改善 2 型糖尿病大鼠的勃起功能障碍

Original Research
ERRα 是肺腺癌的侵袭性因子,可预测预后不良
