论文已发表
注册即可获取德孚的最新动态
IF 收录期刊
Review
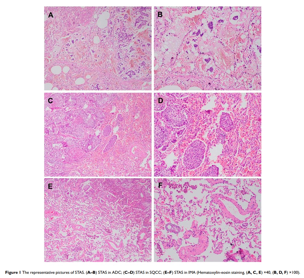
肺癌中的肿瘤气腔播散(STAS):多角度和最新进展回顾

Case Report
原发性血小板增多症合并华氏巨球蛋白血症 1 例并文献复习

Original Research
MicroRNA-202-3p 靶向脑源性神经营养因子,并参与抑郁样行为

Original Research
局部施用人脐带间充质干细胞衍生的外泌体并结合海绵骨针治疗光老

Original Research
基于 5-氟尿嘧啶修饰的量子点的纳米药物的生物活性研究

Original Research
使用间充质干细胞膜伪装的纳米颗粒递送阿霉素来治疗结肠癌
