论文已发表
注册即可获取德孚的最新动态
IF 收录期刊
Original Research
长非编码 RNA NNT-AS1 通过调节胆管癌中的 miR-485/BCL9 起到致癌基因的作用

Original Research
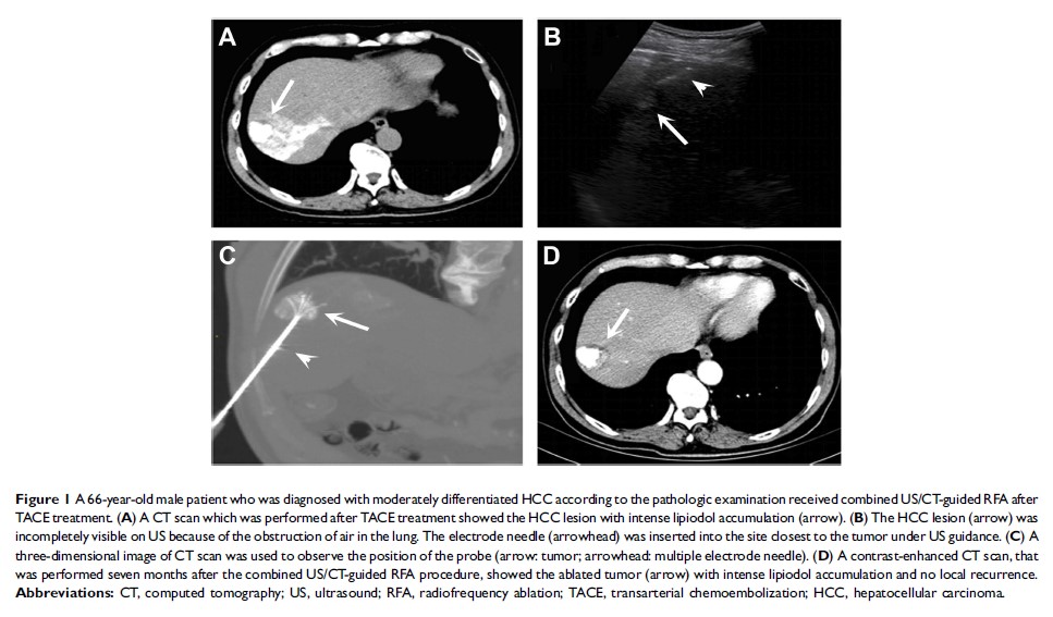
在实施经肝动脉化疗栓塞术后,结合超声/计算机断层扫描引导的经皮射频消融术治疗肝脏膈顶部肿瘤

Original Research
中国接受护理的幸存者的心理状况及其相关因素:2008 年四川地震 6 年之后

Original Research
多功能内体酸度诱导的可脱落基因传递系统:增加肿瘤靶向和提高转染效率

Original Research
携带 IL-13 的新型溶瘤腺病毒对口腔癌动物模型的疗效

Original Research
miR520a-3p 通过抑制胶质母细胞瘤中的 p65-NFκB 途径抑制细胞增殖和转移
