论文已发表
注册即可获取德孚的最新动态
IF 收录期刊
Clinical Trial Report
全膝关节置换术手术切口用组织胶粘剂的前瞻性、随机对照研究

Review
电针:改善全身麻醉手术后睡眠质量的新方法

Review
白细胞介素-33 在免疫细胞和肿瘤免疫中的矛盾作用

Original Research
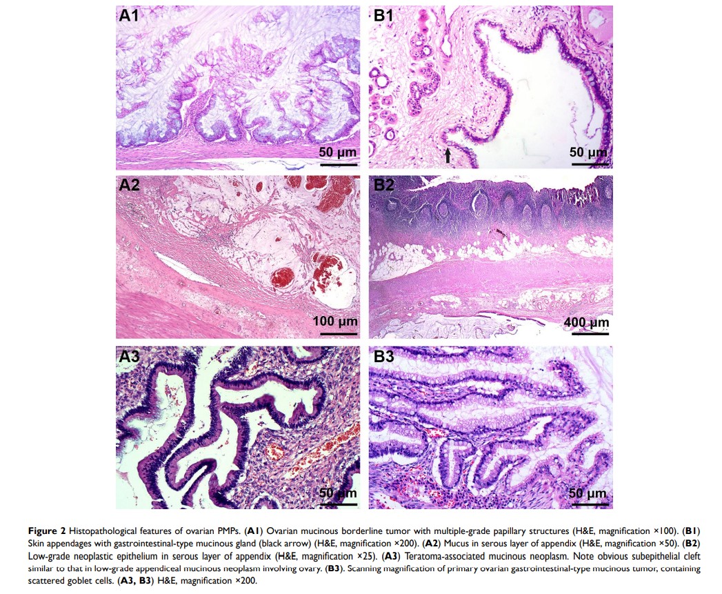
源自卵巢的腹膜假黏液瘤的临床病理特征

Original Research
环状 RNA circRNA_103809 通过激活 miR-516a-5p/FBXL18 轴来加速膀胱癌的进展并增强化疗耐药性

Original Research
基因间长非编码 RNA LINC00922 通过调节 microRNA-424-5p/BDNF 轴加剧了乳腺癌的恶性表型
