论文已发表
注册即可获取德孚的最新动态
IF 收录期刊
Case Series
原发性骨髓纤维化患者接受鲁索替尼治疗期间的结核病:病例系列和文献综述

Case Report
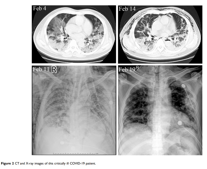
人脐带间充质干细胞用于 COVID-19 危重患者的辅助治疗:1 份病例报告

Original Research
较高的血管细胞粘附分子 1 与慢性阻塞性肺疾病中不断增加的心血管事件发生风险有关

Original Research
靶向 PSMA 的可还原裂解超支化聚酰胺-胺基因递送系统用于治疗前列腺癌骨转移

Original Research
大学生的体育活动强度与抑郁症状:青少年健身改善策略(FITYou)项目

Perspectives
组织心理所有权对制造企业智能化转型的影响机制研究:基于技术变迁视角
