论文已发表
注册即可获取德孚的最新动态
IF 收录期刊
Original Research
CircCSNK1G1 通过竞争性靶向 miR-455-3p 来增加 MYO6 的表达,从而促进结直肠癌的进展

Original Research
CircNFIX 充当 miR-212-3p 海绵,通过上调 ADAM10 来增强非小细胞肺癌的恶性进展

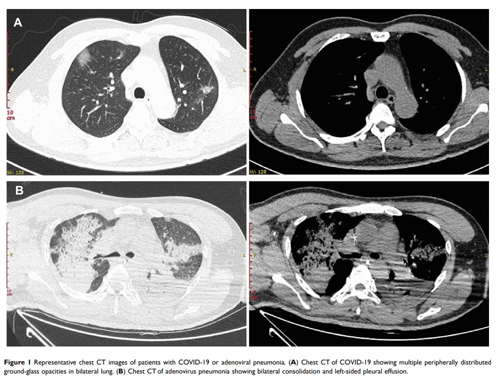
Original Research
比较 COVID-19 和腺病毒性肺炎的临床、实验室和放射学特征:回顾性研究

Case Report
吡罗替尼对接受过大量预先治疗的携带 HER2 扩增和 20 外显子插入突变的肺腺癌患者的疗效:一份病例报告

Original Research
大黄素通过抑制 IKKβ/NF-κB 信号通路逆转吉西他滨对胰腺癌细胞的耐药性

Original Research
姜辣素通过调节 TPH/MAO-A/SERT/5-HT/5-HT3 受体系统改善大鼠顺铂诱导的Pica
