论文已发表
注册即可获取德孚的最新动态
IF 收录期刊
Original Research
外泌体 miR-548c-5p 通过 HIF1A/CDC42 轴调节结直肠癌细胞的生长和侵袭

Original Research
锌指和 BTB 结构域 4 在结直肠癌中的表达及其临床意义

Original Research
MCM10 充当潜在的预后生物标志物,并促进肝细胞癌中的细胞增殖:生物信息学分析和实验验证相结合

Original Research
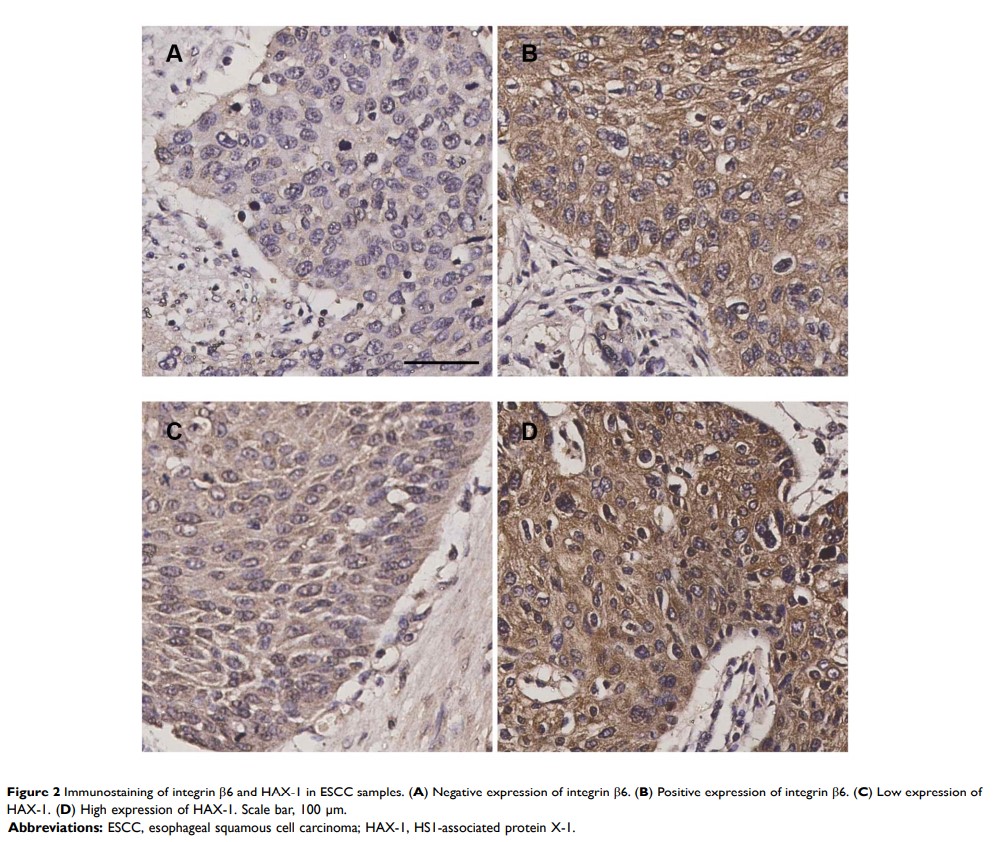
整合素 β6 和 HAX-1 的表达与食管鳞状细胞癌的侵袭性和不良预后的相关性分析研究

Original Research
Hsa_circ_0084927 通过调节 miR-634/TPD52 轴来调节宫颈癌的进展

Original Research
TCEAL2 作为肾细胞癌的抑癌基因与患者良好的预后有关
