论文已发表
注册即可获取德孚的最新动态
IF 收录期刊
Original Research
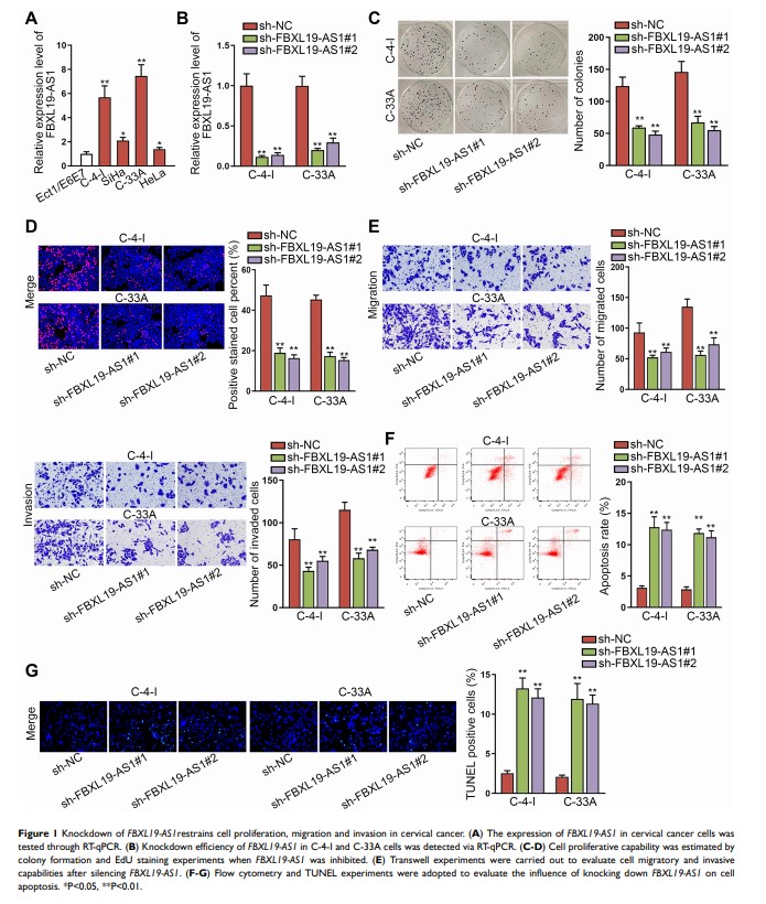
长非编码 RNA FBXL19-AS1 通过 miR-193a-5p/PIN1 信号传导加快宫颈癌中的细胞生长、迁移和侵袭

Original Research
血清外泌体 lncRNAs 作为食管鳞状细胞癌诊断和预后生物标志物的评估

Original Research
钙稳态的调节可能与糖尿病肾病大鼠的肾细胞癌易感性有关

Original Research
ANLN 直接与 RhoA 相互作用以促进乳腺癌细胞对阿霉素的耐药性

Original Research
膀胱癌罕见组织学变异的临床特征和预后:来自中国的单中心回顾性研究

Original Research
血小板计数与肺腺癌的淋巴结转移率有关
