论文已发表
注册即可获取德孚的最新动态
IF 收录期刊
Original Research
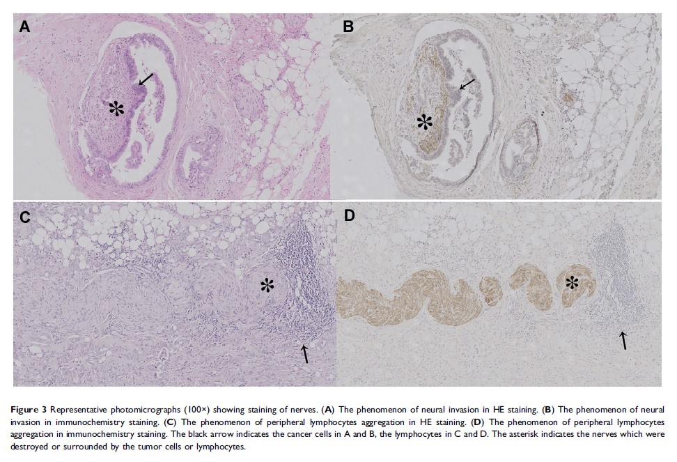
胰腺外神经病变与胰头癌的早期肝转移相关

Original Research
lncRNA NCK-AS1 敲除可通过调节骨肉瘤细胞中的 miR-137 来调控顺铂耐药性

Original Research
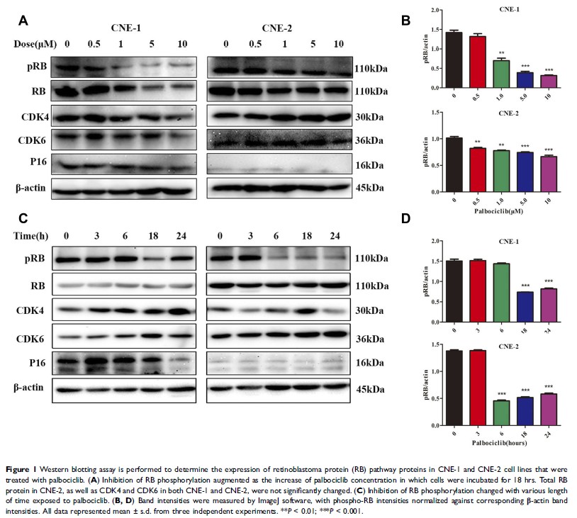
CDK4/6 抑制剂帕博西尼通过介导细胞凋亡及抑制 DNA 损伤修复来增强鼻咽癌细胞的放射敏感性

Original Research
LncRNA TP73-AS1 激活 TGF-β1 以促进结直肠癌细胞的迁移和侵袭

Original Research
GALE 促进胶质母细胞瘤细胞的增殖和迁移,并被 miR-let-7i-5p 调控

Review
miR-451:一种新型的生物标志物和癌症的潜在治疗靶标
