论文已发表
注册即可获取德孚的最新动态
IF 收录期刊
Original Research
视觉工作记忆的训练效果可以在不同刺激间迁移

Original Research
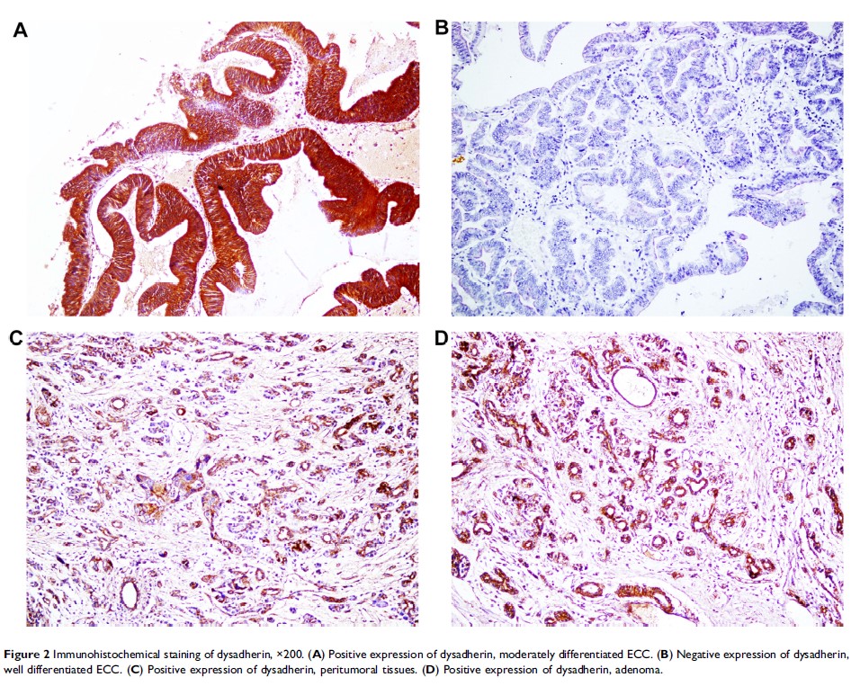
EphB3 和 dysadherin 表达在肝外胆管癌中的预后和临床病理意义

Case Report
免疫适应性正常患者因拟香味类香菌而导致的导管相关性血流感染确诊病例(CRBSI):病例报告和文献回顾

Review
先天性免疫细胞如何在 COPD 进展中促进气道重塑?

Short Report
机器学习预测中国患者急性前壁心肌梗死后的一年死亡率

Case Report
紧急化学疗法成功救治了由颅内髓系肉瘤引起的急性颅内高压症濒临死亡的病人
