论文已发表
注册即可获取德孚的最新动态
IF 收录期刊
Original Research
慢性阻塞性肺疾病(COPD)合并共病症与因非 COPD 原因而进入重症监护室患者预后的关联:一项回顾性队列研究

Original Research
LncRNA PCAT6 通过 miR-543 海绵化和上调 ZEB1 促进宫颈癌的进展和化学耐药性

Original Research
巨细胞病毒 DNA 拷贝数 ≧1000/mL 对单份脐带血移植后完全缓解的 AML 患者的保护作用

Original Research 值得关注
Applying Serum Cytokine Levels to Predict Pain Severity in Cancer Patients

Original Research
TKIs 治疗的转移性肾细胞癌患者体内脂肪成分的预后价值

Original Research
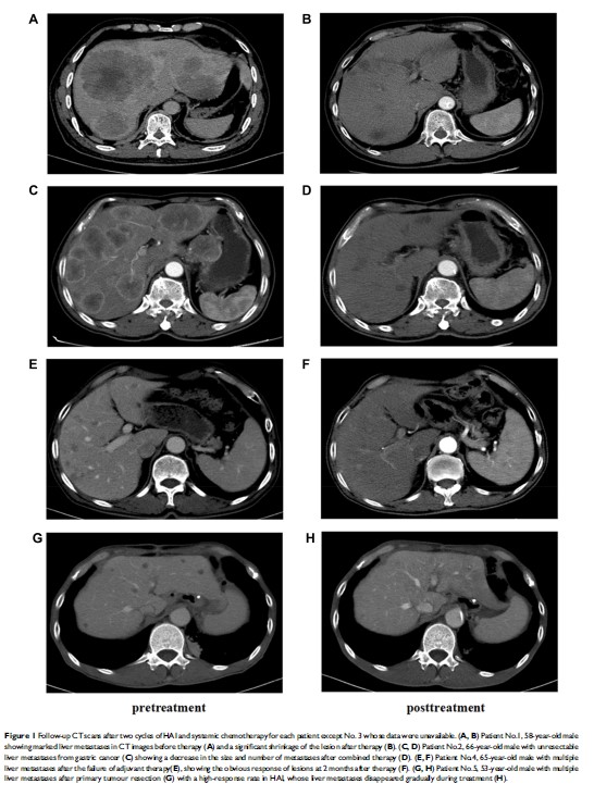
肝动脉输注奥沙利铂结合口服化疗药物 S-1 治疗无法切除的肝转移胃癌:病例报告和文献回顾
