论文已发表
注册即可获取德孚的最新动态
IF 收录期刊
Original Research
超小型溶菌酶保护的金纳米簇作为诱导成骨分化的纳米药物

Original Research
在 FAK/P38 信号传导通路的介导下,由钛植入物表面的纳米氧化石墨烯修饰所诱导的成骨作用可得到增强

Original Research
Affibody 修饰的 Gd@C-Dots 具有有效的肾脏清除功能,可用于增强磁共振成像来测量非小细胞肺癌中 EGFR 表达

Original Research
GOLPH3 通过调节 Wnt/β-连环蛋白信号通路促进肺腺癌的血管生成

Original Research
中国人群中 MET 14 外显子跳跃的 PD-L1 表达和发病率:利用 RNA 测序的非选择性 NSCLC 队列研究

Original Research
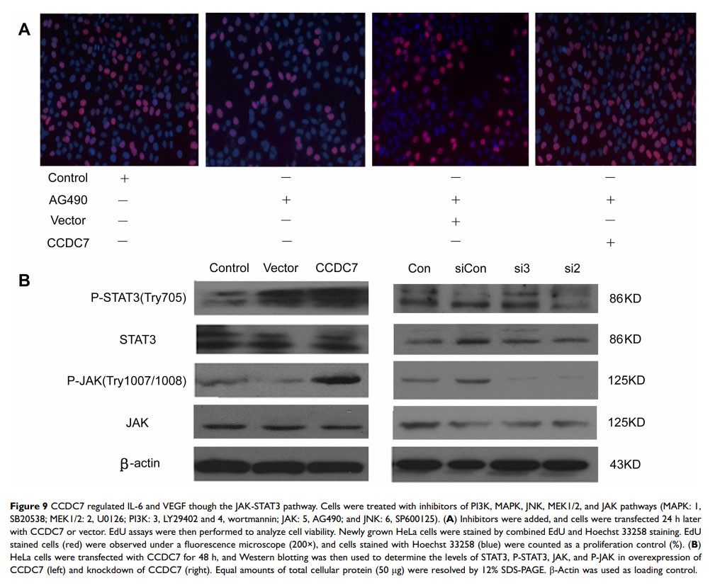
本文章已被撤回:CCDC7 激活白细胞介素 6 和血管内皮生长因子,通过 JAK-STAT3 信号通路促进宫颈癌细胞的增殖
