论文已发表
注册即可获取德孚的最新动态
IF 收录期刊
Original Research
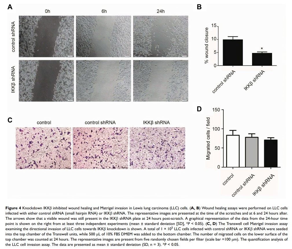
敲低 IKKβ 抑制柔脑膜转移小鼠模型的肿瘤发展和肺癌细胞的增殖

Original Research
lncRNA NLIPMT 的过表达通过下调 TGF-β1 抑制结直肠癌细胞的迁移和侵袭

Original Research
血小板计数升高可预测乳腺癌锁骨上淋巴结转移患者的不良预后

Original Research
DHRS9 过表达对胰腺癌预后的影响

Original Research
长非编码 RNA AGAP2-AS1/miR-628-5p/PTN 轴可调节胶质瘤细胞的增殖、迁移、侵袭和凋亡

Original Research
在特定 ICU 中的 III 期重度新冠病毒 COVID-19 患者:临床特征和死亡率预测因素
