论文已发表
注册即可获取德孚的最新动态
IF 收录期刊
Original Research
miR-210 是一种血清生物学标志物,可预测接受射频消融治疗的结肠癌肝转移患者的复发和预后

Original Research
术前中性粒细胞/淋巴细胞比值和白蛋白在行根治性肾输尿管切除术的上尿路尿路上皮癌患者预后风险分级中的应用

Case Report
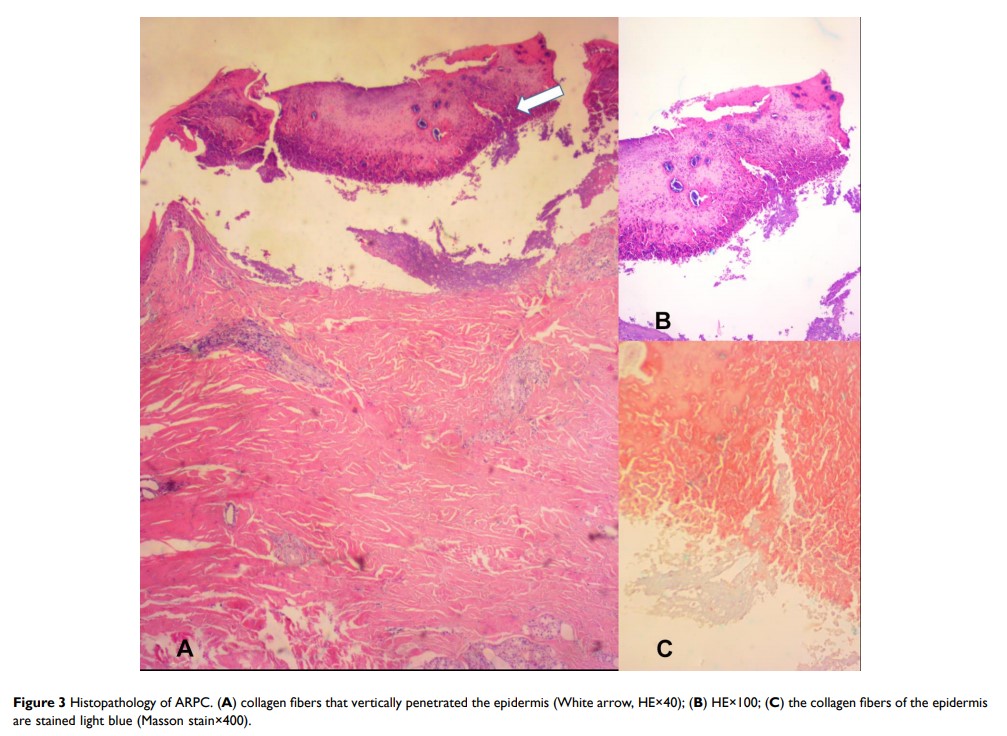
强力霉素与 NB-UVB 光疗相结合治疗获得性反应性穿通性胶原病

Case Report
恶性心律失常作为甲状腺危象的无掩蔽的表现

Short Report
在三个独立家庭中没有发生病毒传播的 2019 冠状病毒病无症状亚临床病例

Case Series
以孤立性卵巢转移瘤为初步表现的宫颈粘液腺癌的临床病理特征分析
