论文已发表
注册即可获取德孚的最新动态
IF 收录期刊
Original Research
通过高通量靶向 DNA 甲基化测序对隐源性肝细胞癌差异性 DNA 甲基化谱的研究:隐源性肝细胞癌的初步研究

Original Research
Cbl 原致癌基因 B(CBLB)c.197A>T 突变可诱导部分 I 型多发性对称性脂肪瘤病(MSL)患者的轻度代谢功能障碍

Original Research
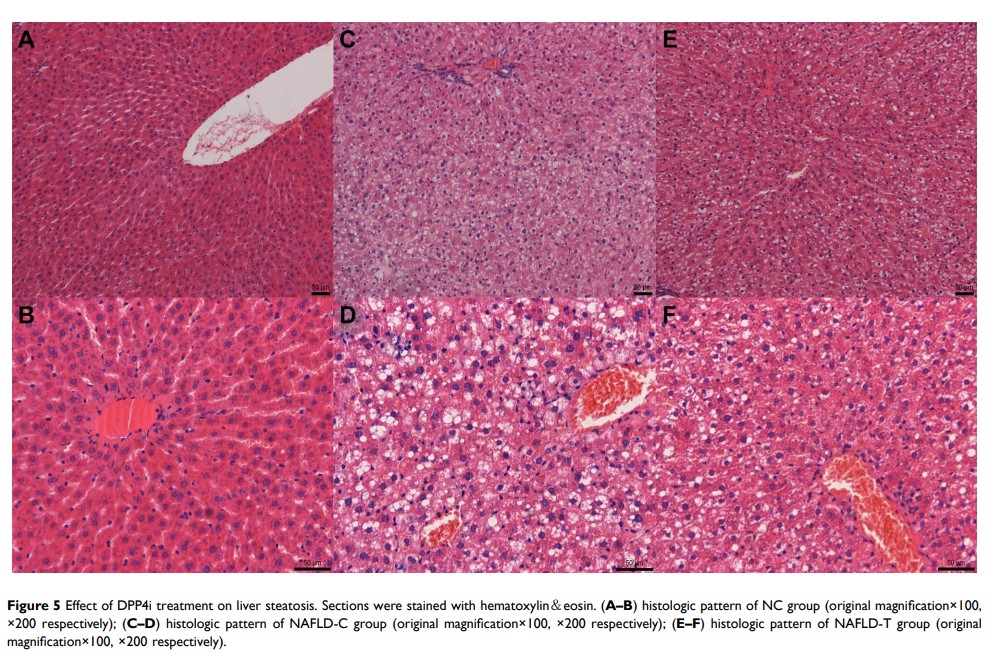
沙格列汀:一种二肽基肽酶4抑制剂对非酒精性脂肪肝的影响

Case Report
根据肾上腺静脉取血,采用肾上腺动脉消融术治疗皮质醇增多症:一种潜在的治疗策略

Original Research
方舱医院中 COVID-19 患者的药物治疗及影响因素分析

Original Research
通过调节胶囊合成的初始步骤,AmpR 可提高碳青霉烯类耐药的肺炎克雷伯菌的毒力
