-
Original Research

- 作者:Jiali Tao, Hongmei Zhao, Xiaochen Xie, Man Luo, Zhiwei Gao, Hong Sun, Ziming Huang
- 期刊:OncoTargets and Therapy
-
Original Research

- 作者:Jiahua Pan, Xiaoguang Shao, Yinjie Zhu, Baijun Dong, Yanqing Wang, Xiaonan Kang, Na Chen, Zhenyi Chen, Shupeng Liu, Wei Xue
- 期刊:International Journal of Nanomedicine
-
Review

- 作者:Song Feng, Anbang He, Deli Wang, Bin Kang
- 期刊:OncoTargets and Therapy
-
Review

- 作者:Pan Liu, Huapeng Lin, Yuanyuan Chen, Yu-Shen Wu, Maocai Tang, Liang Lai
- 期刊:Therapeutics and Clinical Risk Management
-
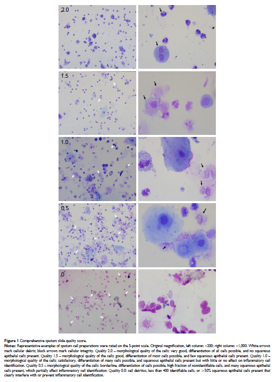
Research Letter

- 作者:Frauke Pedersen, Ulrich M Zissler, Henrik Watz, Klaus F Rabe, Jens M Hohlfeld, Olaf Holz
- 期刊:International Journal of Chronic Obstructive Pulmonary Disease
-
Case Report

- 作者:Zhan Wang, Wei-Ping Dai, Yuan-Sheng Zang
- 期刊:OncoTargets and Therapy