论文已发表
注册即可获取德孚的最新动态
IF 收录期刊
Original Research
电针治疗可上调 α7nAChR 并抑制神经损伤大鼠背根神经节 JAK2/STAT3

Original Research
中国西北地区社区成年人的疼痛相关危险因素

Original Research
乳腺癌中 HER-2 突变引起的曲妥珠单抗耐药机制

Original Research
肺转移三阴性乳腺癌患者的肺部靶病灶异质性可预测一线铂类治疗的疗效以及总生存期:“PET” 活检法

Original Research
对病理性 III 期胃癌患者进行辅助放化疗的益处

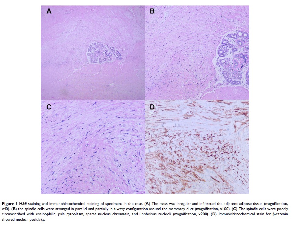
Case Report
有效的高强度聚焦超声治疗复发性侵袭性乳腺纤维瘤病:一份病例报告
