论文已发表
注册即可获取德孚的最新动态
IF 收录期刊
Original Research
Cyclin D1 蛋白亚型的表达及其在宫颈癌中的预后意义

Original Research
基于影像的个性化反应预测碳离子放射疗法对前列腺癌患者的疗效

Case Report
罕见的同步多发性肺癌:鳞状细胞癌和小细胞肺癌

Case Report
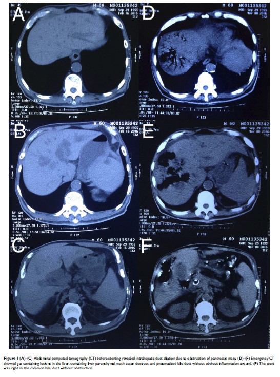
因胰腺癌而行胆管内支架置入术后由产气荚膜梭菌引起的致命性肝感染:一份病例报告

Methodology
OSacc:基于基因表达的肾上腺皮质癌生存分析网络工具

Original Research
α-Hederin 通过在体内和体外激活线粒体途径增加顺铂耐药的胃癌细胞的凋亡
