论文已发表
注册即可获取德孚的最新动态
IF 收录期刊
Original Research
长非编码 RNA KCNQ1OT1 通过调节 miR-204-5p/ATG3 轴促进非小细胞肺癌的进展

Original Research
敲低 SLC35F2 抑制膀胱癌细胞增殖转移的研究

Original Research
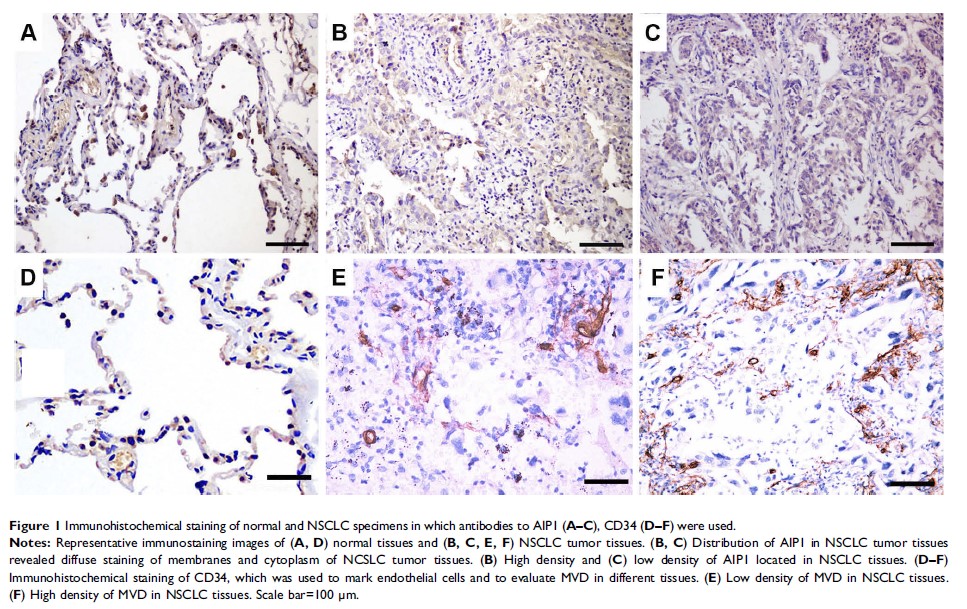
早期非小细胞肺癌患者中 ASK1 与蛋白 1 相互作用的低表达与肿瘤血管生成和不良生存率显着相关

Original Research
姜黄素类似物 C66 对 JNK 磷酸化的抑制可防止脂多糖(LPS)诱导的急性肺损伤

Original Research
具有抗肝细胞性肝癌活性的新型单臂抗 c-Met 抗体的制备

Original Research
Catalpol 通过 BDNF,而不是通过 BDNF/Trkb 信号通路,增强神经再生并抑制新神经元的凋亡
