论文已发表
注册即可获取德孚的最新动态
IF 收录期刊
Original Research
蛋白精氨酸甲基转移酶 4 可调节 1 型糖尿病小鼠脂肪组织的脂解

Original Research
高糖通过激活 p38MAPK/ERK 信号通路来下调缝隙连接蛋白 43 表达,及其在骨样 MLO-Y4 细胞中的间隙连接和半通道功能

Original Research
血清尿酸与精神分裂症风险之间关联性的因果关系评估:两样本双向孟德尔随机化研究

Original Research
MAGE-A11 表达可预测头颈部鳞状细胞癌的患者预后

Original Research
15 例胆囊神经内分泌癌的临床分析及使用倾向评分匹配与胆囊腺癌进行比较

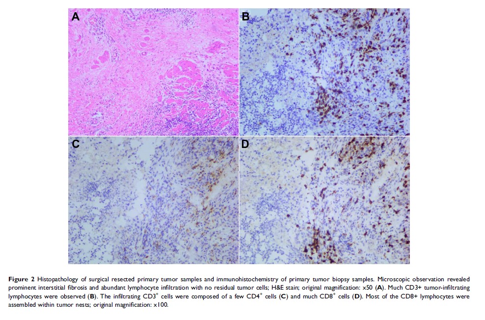
Case Report
具有 PD-L1 阳性和微卫星不稳定性的不可手术切除的局部晚期胃癌,单剂量抗 PD-1 联合化疗作为一线治疗后的病理学完全缓解
