论文已发表
注册即可获取德孚的最新动态
IF 收录期刊
Original Research
瘦素基因的变体降低了中国人胃癌的风险:一项病例对照研究的证据

Case Report
一名老年 COVID-19 重症患者的带状疱疹和带状疱疹后遗神经痛:一份病例报告

Original Research
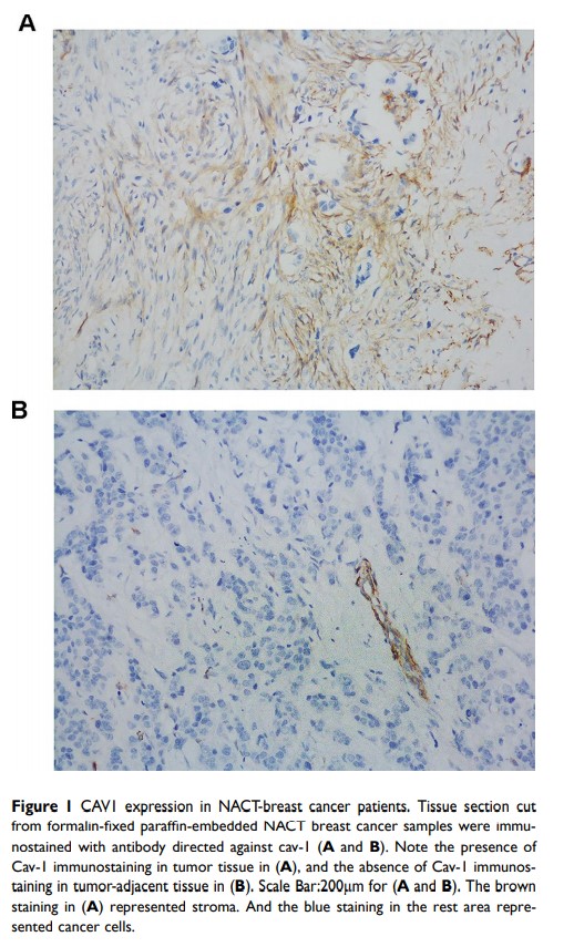
CAV1 的表达升高与接受手术和新辅助化疗的乳腺癌患者的不良预后有关

Original Research
长非编码 RNA GAS5 通过 miR-320a/RAB21 轴抑制肿瘤进程并增强前列腺癌的放射敏感性

Original Research
PVT1 的敲低可通过调节 MiR-106b-5p/FJX1 轴来遏制大肠癌进展

Original Research
LINC02471 的敲低通过靶向 miR-375 抑制乳头状甲状腺癌细胞的侵袭和转移
