-
Original Research

- 作者:Chong Meng, Xun Yang, Yuzhou Liu, Yingjie Zhou, Jing Rui, Shenqian Li, Ce Xu, Yongqing Zhuang, Jie Lao, Xin Zhao
- 期刊:Journal of Pain Research
-
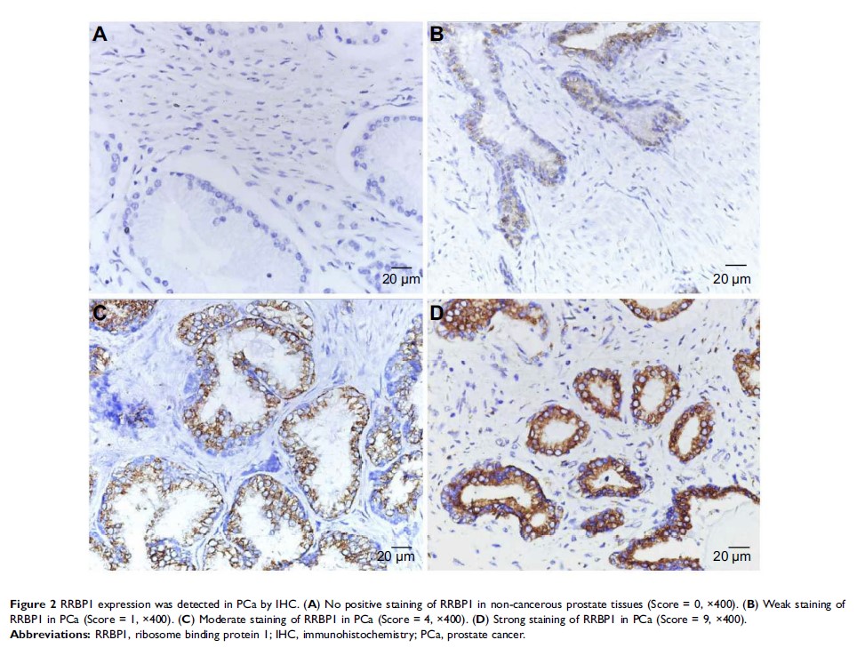
Original Research

- 作者:Tieqiu Li, Qianqian Wang, Xiuqin Hong, Huahua Li, Ke Yang, Jiahui Li, Bin Lei
- 期刊:Cancer Management and Research
-
Original Research

- 作者:Yuan Li, Pan Huang, Hongju Peng, Hongcheng Yue, Min Wu, Shanshan Liu, Rongsheng Qin, Juan Fan, Yunwei Han
- 期刊:Cancer Management and Research
-
Original Research

- 作者:Hao Liu, Yan-Rong Zhao, Bo Chen, Zheng Ge, Jiang-Sheng Huang
- 期刊:Cancer Management and Research
-
Original Research 简明总结

- 作者:Changhui Li, Jindong Guo, Lei Zhao, Fang Hu, Wei Nie, Huimin Wang, Xiaoxuan Zheng, Yinchen Shen, Ping Gu, Yujun Zhang, Xueyan Zhang
- 期刊:Cancer Management and Research
-
Original Research

- 作者:Jiyuan Ai, Chengwu Gong, Junjun Wu, Jun Gao, Weiwei Liu, Wenjun Liao, Linquan Wu
- 期刊:Cancer Management and Research